

Muscat: The Radiotherapy team at Sultan Qaboos Comprehensive Cancer Care and Research Center has successfully completed the first of Low Dose Rate (LDR) brachytherapy seed implant for prostate cancer. This treatment is considered one of the more preferred treatments for prostate cancer.
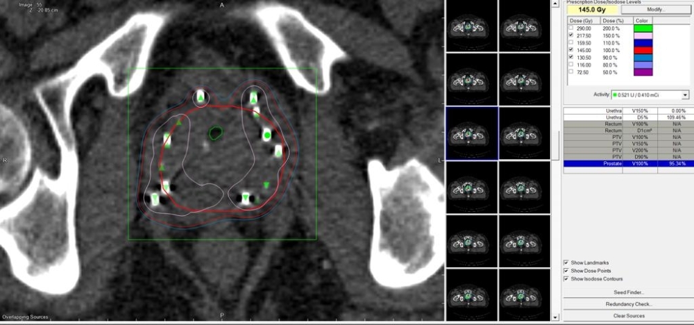
The operation was conducted by Dr Nadeem Pervis a senior consultant radiation oncologist, with a team of specialized doctors, medical physicists, anaesthetists, therapists and nurses. The operation was 2 hours long, where 82 radioactive seeds of Iodine 125 were implanted in and around the prostate.
Dr Nadeem stated that LDR seed brachytherapy implants are a preferred mode of treatment for prostate cancer, as it localizes and focuses the radiation at the site of treatment without affecting the normal organs around the prostate, compared to how external beam radiotherapy delivers treatment from outside the body over multiple sessions lasting weeks, while LDR is a one-time procedure and the patient goes home the same day.
Dr Nadeem added that this treatment was not available in the Middle East and the region, and for that this center has set the stage as a leader in this area.
The brachytherapy procedure involves insertion of needles containing radioactive seeds smaller than grains of rice, these seeds release radiation locally over a number of days, destroying the cancer cells stopping them from dividing and growing.
In her turn, Iqbal al Amri, Senior Medical Physicist in the centre said: “This treatment is not for everyone, and there are certain criteria that need to be achieved to be eligible for LDR Brachytherapy. This type of treatment requires a high degree of expertise and quality assurance to guarantee its success. We are fortunate at the center to have both of these requirements. In addition, special instructions are given to patients to ensure a safe and quick recovery.
Moreover, Dr Zahid al Mandhari, Senior Consultant of Radiation Oncologist and head of the department, pointed out that the centre aims to become a leading center of excellence in Oman and the region.
Oman Observer is now on the WhatsApp channel. Click here